Главным источником поступления фтора в организм является обычная питьевая вода. Какое количество фтора поступает ежедневно в организм, никто не знает.Соответственно получить перенасыщение этим полезным микроэлементом достаточно просто. В результате перенасыщения фтором на зубной эмали образовываются пятна. Такое заболевание в стоматологии называется «флюороз». В чем опасность этого стоматологического заболевания и как с ним бороться?
Флюороз является довольно распространенным заболеванием, которое возникает из-за чрезмерного поступления в организм соединений фтора. Развивается такое стоматологическое заболевание постепенно и имеет несколько форм. Симптомы у каждой из форм разные. У кого-то флюороз проявляется только незначительными дефектами эмали, у других может привести к полному разрушению зубов. Вот почему крайне важно своевременно обнаружить и начать лечение этого заболевания.
Существует два вида флюороза:
- профессиональный;
- эндемический.
Эндемический флюороз встречается в отдельных регионах, где количество содержания фтора в воде и продуктах очень завышено. Также увеличить риск развития такого заболевания может дополнительный прием препаратов, содержащих этот микроэлемент. Профессиональный флюороз может развиться у людей, чья работа связана с алюминиевым производством. В таком случае большое количество фтора проникает в организм вместе с воздухом.
Причины развития заболевания
Фтор, так же как магний, калий и кальций, является необходимым для организма человека микроэлементом. Его недостаток может спровоцировать развитие кариеса, а избыток — флюороз. В связи с чем, поступление фтористых соединений в организм не должно превышать норму.
В основную группу риска по развитию данного заболевания входят маленькие дети с неокрепшей зубной эмалью. Суточная норма потребления фтора для них составляет 2-3 мг/л. В этой категории пациентов достаточно незначительное превышение показателя для развития флюороза. У взрослых этот показатель равняется 4 мг/л, а его превышение на два значения может спровоцировать поражение зубов.
Формы флюороза
Флюороз имеет несколько форм, и у каждой свои проявления.
- Штриховая. Для этой формы характерно образование меловидных полосок на поверхности зубной эмали. Они отчетливо видны, но при слабовыраженном течении болезни могут быть диагностированы только специалистом.
- Пятнистая. Проявляется в виде белесых пятен различного размера, которые могут сливаться в единое поражение.
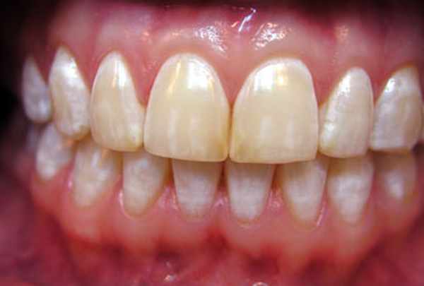
- Меловидно-крапчатая. Эта форма флюороза проявляется пигментированными пятнами и точками. Глубина поражения при этом равна 0,1-0,2 мм. Поражения окрашены в желтый цвет, а дно пятен имеет коричневый оттенок.
- Эрозивная. Данной форме заболевания свойственно появление значительных очагов поражения, в несколько раз превосходящих по размеру крапинки. Такие поражения называются эрозиями.
- Деструктивная. Это самая тяжелая форма флюороза, при которой зуб разрушается. На поверхности эмали отчетливо видны сильные эрозии. При данной форме патологии происходит быстрое стирание эмали, ткани зуба становятся хрупкими, что приводит к образованию сколов.
Симптоматика флюороза
В качестве основного симптома заболевания выступают изменения на эмали зубов. Изначально поверхность зубов покрывается пятнами белого или желтого цвета, затем повышается чувствительность эмали. Зубы сильно реагируют на температурные раздражители при приёме горячей/холодной пищи. Появление пятен на зубной эмали может быть вызвано и другими патологиями. В связи с чем, для постановки точного диагноза необходимо обратиться за помощью специалиста.
При флюорозе зубов не ощущается дискомфорт в полости рта. Со временем заболевание приводит к истончению зубной эмали. И только на этом этапе появляются следующие симптомы:
- сильная чувствительность зубов;
- образование сколов и трещин;
- появление эрозивных поражений, переходящих в кариес.
Образование эрозий влечет за собой постепенное разрушение зуба, вплоть до полной его утраты. В процессе развития патологии происходит истончение эмали и дентина зуба. При тяжелой форме заболевания может возникнуть общее недомогание,суставные боли и слабость в мышцах.
Развитие флюороза у детей
Чаще всего такое заболевание возникает у детей, которые проживают в местности с повышенным содержанием фтора в воде, с момента рождения и до окончательной минерализации зубных тканей. В процессе группировки солей кальция, фтор выводит их из организма. Кроме того, он оказывает негативное воздействие и на внутренние составляющие эмали. Все эти процессы вызывают ее размягчение. Таким образом, развивается флюороз в детском возрасте.
Методы лечения
И в детском и во взрослом возрасте лечение заболевания необходимо начинать со снижения количества фтора, попадающего в организм. Если возможность замены питьевой воды отсутствует, необходимо использовать специальные фильтры для ее очищения. Также рекомендуется исключить зубные пасты и продукты питания (рыба, шпинат, чай) с высокой концентрацией фтора. Это не поможетустранить уже образовавшиеся пятна на эмали, но затормозит процесс прогрессирования заболевания.
Лечение патологии зависит от степени тяжести заболевания. На начальной стадии развития флюороза изменяется только оттенок эмали. На этом этапе рекомендуется процедура отбеливания зубов, а также реминерализующая терапия. В результате проведения реминерализующей терапии твердые ткани зуба укрепляются, восстанавливается их структура. Процедура проводится в виде аппликаций. При подозрении на флюороз взрослым пациентам может быть назначен прием лекарственных препаратов.
В средней и тяжелой стадии развития патологического процесса происходят необратимые нарушения зубной эмали. Когда целостность эмали нарушена, отбеливание зубов проводить нельзя. В таких ситуациях для лечения применяют эстетическую реставрацию зубов. Чаще всего для устранения имеющихся дефектов используют керамические коронки или виниры.
Способы профилактики
Для предупреждения развития флюороза зубов, профилактику данного заболевания необходимо проводить с ранних лет. Для этого рекомендуется, как можно позже переводить ребенка на искусственное вскармливание. Также необходимо следить за тем, чтобы рацион питания был сбалансированным. При возможности на время сменять источник воды. Взрослым в качестве профилактических мер по предупреждению развития флюороза необходимо выбирать зубную пасту и ополаскиватели для полости рта, не содержащие фтор.